Dental clinics provide dental care to keep the mouth and teeth clean to prevent dental issues, including tooth decay, gum disease, tooth sensitivity, bad breath, tooth loss, tooth grinding, and oral infections. A dentist is a degreed clinician that works in a dental practice. They are highly trained professionals devoted to diagnosing and treating patients’ oral diseases and other oral health conditions.
It is advisable to visit a dental clinic at least twice a year. Proper dental cleaning will help remove stains, plaque, and bacteria on your teeth and give you a brighter smile. Are you thinking of scheduling a visit to a dentist in Penang? Here are Penang’s top 10 dental clinics to help you make a better choice.
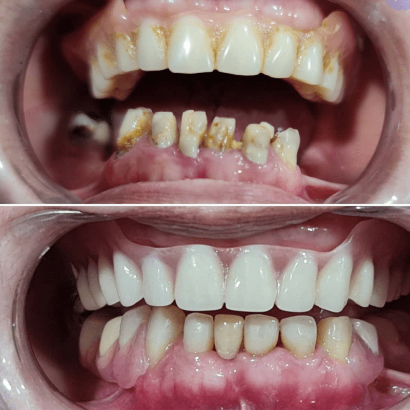
What Are The Aftercare You Have To Do After A Dental Treatment?
There are a few aftercare you have to do after a dental visit to promote healing, prevent infection, and manage discomfort while ensuring optimal results. Here are the aftercare tips you can do:
- Follow post-treatment instructions
It’s important to carefully adhere to any instructions given by your dentist for aftercare, which can involve guidelines on diet, medication, oral hygiene, and precautions, and your dentist may prescribe over-the-counter pain relievers to alleviate any pain or discomfort. - Maintain oral hygiene
Be gentle when brushing and flossing your teeth after a dental visit. Resuming your regular dental routine within 24 hours, including brushing your teeth at least once daily and flossing, is essential for maintaining oral hygiene. - Avoid smoking, alcohol, and certain foods
After oral surgery or extractions, it is best to avoid smoking, alcohol, and sticky or hard foods like pizza crusts, chewy candies, popcorn, or nuts, as they can hinder healing and cause complications.
Read more to enhance your overall well-being by consulting with these specialists:
- Best Health Check Up Clinics in Penang
- Best Dermatology Clinics in Penang
- Best Gynaecologist Clinics in Penang
- Best Orthopedics Specialists in Penang
- Best ENT Clinics in Penang
10 Best Dental Clinics in Penang 2025
1. A Dental

A Dental is one of the best dental clinics in Penang. As the Number One dental clinic in the city, A Dental offers unparalleled expertise in aesthetic and general dentistry, specializing in smile makeovers. With an impressive range of treatments, from braces and clear aligners to veneers, implants, and crowns, they can transform your smile into the one you’ve always dreamed of.
If you need general dentistry services, such as teeth extraction or scaling, the experienced team at A Dental has you covered. What sets them apart is they ensure a pain-free experience for all its patients, and with countless happy and satisfied customers, it’s no wonder they’re the talk of the town. With reasonable prices, A Dental is a go-to clinic for all your dental needs.
Operating Hours:
9.30 am – 8.00 pm (Monday – Wednesday)
9.30 am – 8.00 pm (Friday)
9.30 am – 6.00 pm (Saturday- Sunday)
Closed on Thursday
Address: 303-1-29, Krystal Point Business Centre, Jalan Sultan Azlan Shah, Bayan Lepas, 11900 Penang
Whatsapp No: 016 – 8883490
Office No: 04 – 3720643
Google Map: Navigate Now
Google Reviews: Here
Check Info On Website Check Info On whatsapp2. SmileBay Dental Surgery @ Raja Uda


SmileBay Dental Surgery believes that a great smile is a confidence booster that can enhance one’s quality of life and brighten the lives of those around them. Their skilled dental professionals, Dr Yong Peng San and Dr Tan Pui Ling, are equipped with up-to-date skills and an insatiable passion for doing their best to ensure every patient who comes to them receives the best dental work.
Operating Hours: 10:00 am – 7:00 pm (Daily)
Address: Ground Floor, No.6952, Jalan Raja Uda, 12300 Butterworth, Penang
Phone No: 017-449 1600
Google Map: Navigate Now
Google Reviews: Here
Other Outlets Available:
Air Itam branch (Check Google Review Here)
Bay Avenue branch (Check Google Review Here)
Island Plaza branch (Check Google Review Here)
Juru Sentral branch (Check Google Review Here)
Bayan Baru branch (Check Google Review Here)
Inderawasih branch (Check Google Review Here)
Instagram: https://www.instagram.com/smilebay.dental/
Refer Info On Website3. Loh Dental Penang


Loh Dental Penang provides high-quality oral health and dental services from skilled dentists like Dr Boon and Dr Ang. The services include tooth filling and scaling that skilled and professional dentists carry out at reasonable prices. Here, the friendly dentist will brief you on the treatment options in detail while allowing you to decide on your treatment choice based on the options given.
Operating Hours:
10:00 am – 1:00 pm, 2:00 pm – 9:00 pm (Monday – Friday)
10:00 am – 1:00 pm, 2:00 pm – 7:00 pm (Saturday)
10:00 am – 1:00 pm, 2:00 pm – 6:00 pm (Sunday)
Address: 337G-1 St Floor, Jalan Perak, Jelutong, 11600 George Town, Penang
Phone No: 013-880 0176
Google Map: Navigate Now
Google Reviews: Here
Facebook: https://www.facebook.com/lohsdentalpenang/
Instagram: https://www.instagram.com/lohdentalpenang/
4. Tiew Dental @ Island Glades Penang


Tiew Dental operates based on the principles of their 4″S” philosophy, which are “Save teeth”, “Safe treatment”, “Serve public”, and “make you Smile always”. Dr Yvonne Ng and Dr Ng Kang Tjin prioritize their patient’s dental health and strive to incorporate sound and effective technologies to aid in everyday dental treatment and surgery to make results more predictable, less time-consuming. and more comfortable.
Operating Hours:
9:00 am – 5:00 pm (Monday – Friday)
9:00 am – 4.30 pm (Saturday)
9:00 am – 12.30 pm (Sunday)
Address: 2-J, Lorong Delima 6, Taman Island Glades, 11700 George Town, Penang
Phone No: 04-653 0789
Google Map: Navigate Now
Google Reviews: Here
Other Outlets Available:
Ayer Itam branch (Check Google Review Here)
Chai Leng Park branch (Check Google Review Here)
Jelutong branch (Check Google Review Here)
Raja Uda branch (Check Google Review Here)
Facebook: https://www.facebook.com/tiewdentalpenang/
Instagram: https://www.instagram.com/tiewdentalpenang/
View website5. L Dental Clinic


L Dental Clinic provides a variety of dental treatments to patients, such as teeth cleaning, whitening, teeth filling, and root canal treatment. Dr Lim and Dr Lee will thoroughly explain the condition of your teeth and make you feel comfortable during the entire dental procedure. Furthermore, the prices charged are reasonable, and the staff at the dental clinic is friendly and will do their best to accommodate your needs.
Operating Hours: 9.30 am – 9.30 pm daily
Address: 17A, Jln Angsana, Bandar Baru Air Itam, 11500 Ayer Itam, Pulau Pinang
Phone No: 010-380 3280
Google Map: Navigate Now
Google Reviews: Here
Facebook: https://www.facebook.com/KlinikPergigianL/
View website6. Wong & Sim Dental Surgery @ Summerton


Wong & Sim Dental Surgery believes in a more personal approach to dentistry, a process focused on service and expertise that puts the patient first. Their philosophy includes striving for excellence in quality of care, overcoming communication barriers, and attempting to view their patient’s needs and expectations through their eyes. They offer a full range of dental services while at the same time maintaining high standards of safety and hygiene. Dr Vivian and Dr Rachel are highly skilled dentists dedicated to relieving tooth pain and restoring your smile to its full brightness.
Operating Hours:
10:00 am – 7.30 pm (Monday – Tuesday, Friday)
10:00 am – 5.30 pm (Wednesday – Thursday, Saturday – Sunday)
Address: 110-02-26 Summerton, Persiaran Bayan Indah, 11900 Bayan Lepas, Pulau Pinang
Phone No: 012-307 3770
Google Map: Navigate Now
Google Reviews: Here
Other Outlets Available: Pulau Tikus branch (Check Google Review Here)
Facebook: https://www.facebook.com/wongandsimdental/
Instagram: https://www.instagram.com/wongandsimdental/
View website7. Salt & Light Dental


Salt & Light Dental is committed to providing its patients with a gentle touch of dental care in a friendly and compassionate way. They offer a wide range of dental services that range from scaling to wisdom tooth extractions. At the dental clinic, you will be welcomed by the friendly and polite dental team, serenaded with the sound of calming instrumental music in the background, while being treated by a kind and helpful dentist, Dr Sherlyn.
Operating Hours:
9:00 am – 7.30 pm (Monday – Tuesday)
9:00 am – 9:00 pm (Wednesday, Friday)
9:00 am – 6:00 pm (Thursday)
10:00 am – 6:00 pm (Saturday – Sunday)
Address: 8-G, 8S, Gat Lebuh Macallum, Kompleks Pulau Mutiara, 10300 George Town, Pulau Pinang
Phone No: 014-567 8900
Google Map: Navigate Now
Google Reviews: Here
Facebook: https://www.facebook.com/Salt-Light-Dental-102549461683613/
Instagram: https://www.instagram.com/saltlightdent/
8. Hygge Dental Penang


You will have a pleasant experience at Hygge Dental Penang with the friendly and welcoming staff and comfortable dental clinic environment. The skill and expertise of the dentist, Dr Lee, at Hygge Dental, are superb, and the knowledgeable dentist will patiently explain your treatment procedures. Furthermore, you will leave this dental clinic with helpful dental hygiene tips.
Operating Hours: 10:00 am – 9:00 pm (Daily)
Address: 16-J, First Floor, Lbh Thean Teik, Bandar Baru Air Itam, 11500 Ayer Itam, Pulau Pinang
Phone No: 014-988 7208
Google Map: Navigate Now
Google Reviews: Here
Facebook: https://www.facebook.com/hyggedentalpenang/
Instagram: https://www.instagram.com/hyggedentalpenang/
9. Quay Dental Penang @ City Junction


Quay Dental Penang offers a full range of dental services, from checkups to whitening and veneers. It is a clean, modern dental clinic with a calm environment and state-of-the-art equipment. They promise that you will love your smile after your visit, and Dr Loo will always help you leave feeling comfortable and confident.
Operating Hours: 10:00 am – 8:00 pm (Daily)
Address: 2-2-5, (Lot A), City Junction Mall, Persiaran Lengkuas, Tanjung Tokong, 10470 Tanjong Tokong, Pulau Pinang
Phone No: 012-255 0351
Google Map: Navigate Now
Google Reviews: Here
Facebook: https://www.facebook.com/quaydentalpenang/
Instagram: https://www.instagram.com/quaydentalpenang/
View website10. Family Dental Clinic Penang @ Tanjung Tokong


Family Dental Clinic Penang boasts of being one of the best dental clinics in Penang, delivering reliable and affordable dental treatment for patients in the area. At Family Dental, Dr Tan Wei Sern and Dr Pauline Lee Poh Ling treat every patient that needs dental care as though they were family. Their dental clinic is filled with highly qualified dentists with years of experience providing their patients with the technical dental procedures needed for all their dental needs.
Operating Hours:
10:00 am – 9:00 pm (Monday – Friday)
10:00 am – 6:00 pm (Saturday – Sunday)
Address: 98-1, 27, Jalan Fettes, Prima Tanjung Business Centre, 11200 Tanjung Tokong, Penang
Phone No: 04-899 0013 / 010-886 0830
Google Map: Navigate Now
Google Reviews: Here
Facebook: https://www.facebook.com/familydentalpenang/
Instagram: https://www.instagram.com/familydental_clinic/
View websiteDisclosure: This list was compiled by the team at My Weekend Plan after extensive research and shared opinions to suggest helpful recommendations for the public. The sequence of brands is in no particular order so if you have any other great suggestions too, please email us support@myweekendplan.com.my. For more information, kindly refer to our copyright, privacy & disclosure policy.